Our dentist and team take the time to explain our treatments to patients and listen to them so we can successfully fulfill all of their dental goals. At Pollary Family Dentistry, we genuinely care for our patients as we improve the health and appearance of their teeth and gums. As you can see below, we go the extra mile in providing excellent dentistry in Colorado Springs, Colorado. Call Dr. Kenneth Pollary to learn more about what we can do for you.
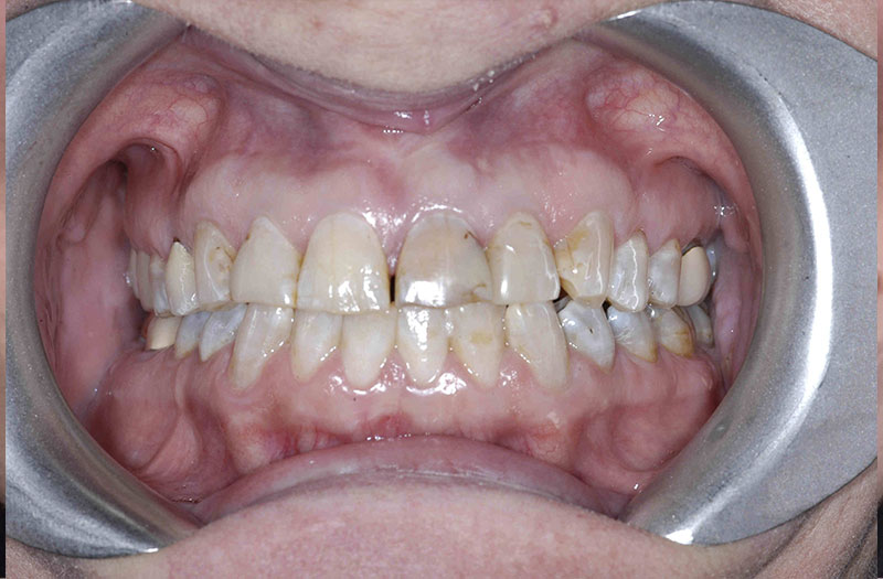
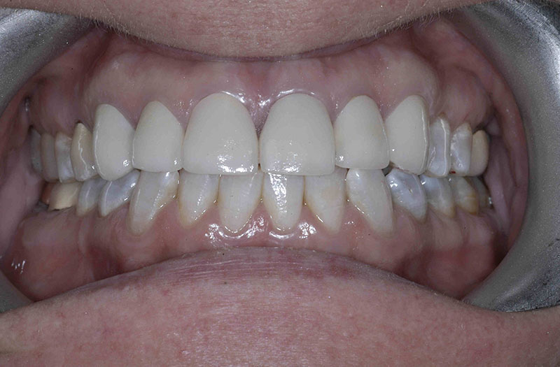
Porcelain Crowns

Before

After

After
Resin Veneers

Before

After
Veneers

Before

After

Before

After









